Especialidades
Odontología general

Consulta
Primera cita en donde el odontólogo hace una revisión general de la salud bucal del paciente, realiza plan de tratamiento ideal, le explica detalladamente al paciente el tratamiento, tiempo y citas necesarias e incluso le toma fotos para que al paciente no le queden dudas sobre el tratamiento. Al finalizar se entrega presupuesto de todo lo explicado.
Limpieza dental
Tratamiento de 45 minutos de duracion que consiste en la eliminación de cálculo dental o masa mineralizada (sarro) adherida a los dientes para lograr una limpieza dental, con ultrasonidos e instrumentos odontológicos especiales.


Resina
Es un material que permite hacer restauraciones estéticas para corregir defectos dentales. Una resina dental es la solución ideal para reparar piezas dentales dañadas por caries o diversos problemas en los dientes y obtener nuevamente una dentadura sana.
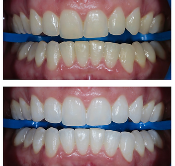
Blanqueamiento
Para cambiar el tono del color de los dientes, dejando estos más blancos y luminosos. Consiste en eliminar las manchas intrínsecas y extrínsecas que producen el cambio de tonalidad en la superficie dentaria.
%2010_49_27%E2%80%AFa_m_.png)
¿Qué opinan nuestros pacientes?
דליה נוימן
2025-07-05
Trato profesional y amable. La doctora habla inglés si alguien lo necesita.
Juan Pablo Garibay
2025-06-21
Muy clara en sus explicaciones, profesional, se ve que sabe lo que hace
Frima Udelman León
2025-06-14
Sin duda la mejor!!! Mis dientes son súper delicados, sufría un poco con las limpiezas y nunca me había sentido tan segura como con Morella.
